Journée de la trisomie 21 : changer les mentalités
Par David Camatchy/Rinsy Xieng
21/03/2019 - 20:29
• Mis à jour le 18/06/2019 - 11:55
Guadeloupe
A l'occasion de la journée mondiale de la trisomie 21, les professionnels organisaient une séance d'information. Une façon de changer le regard des gens sur cette anomalie génétique.
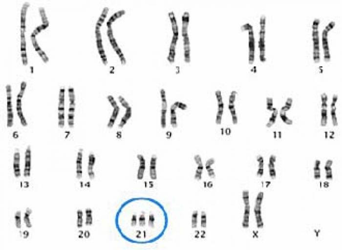
La trisomie 21 n’est pas une maladie, mais une anomalie génétique. C’est entre autre pour mieux le comprendre qu’est organisée chaque année, la journée mondiale (21 mars) de la trisomie 21. C’est aussi pour faire évoluer les mentalités et le regard que l’on porte sur ces personnes, dans la société inclusive d’aujourd’hui.
Alain Berthelot, Présidente de Trisomie 21 Guadeloupe :
√ Rejoignez notre Chaîne Whatsapp, RCI INFOS GUADELOUPE, pour ne rien rater de l’actualité : cliquez ici.






